你是不是上班一坐就是好几个小时?一焦虑就忍不住吃包膨化食品或喝杯奶茶?这种久坐不动、高热量饮食的生活方式正在让我们的腰围“悄悄升级”。
不知道你有没有听过“肚子越大,脑子越小”这句话。听起来好像很荒诞,但科学研究证实,它背后可能隐藏着大脑健康的警示信号。
“肚子越大,脑子越小”是真的吗?
我国最新的调查显示,成年居民中超重率为 34.3%,肥胖率为 16.4%, 而腹型肥胖的比例则高达 33.5%,且越来越多年轻人中招。
与整体肥胖不同,腹型肥胖是指脂肪集中堆积在腹部——也就是我们俗称的“大肚子”。
相比皮下脂肪,内脏脂肪更“危险”,它深藏在腹腔,贴着重要器官,一旦过多,便会对身体造成全面的代谢攻击。
有时,直接侵入内脏(如肝脏)和血管,形成脂肪肝和动脉粥样硬化。

不少人会调侃“最近胖了,脑子也不好使了”,这句话并非空穴来风。
多个国际研究团队发现,像 BMI(体重指数)、WC(腰围)、WHR(腰臀比)等常见指标越高,大脑中控制记忆和学习的区域(比如海马、颞叶)体积就越小。肥胖人群的大脑灰质、总脑体积和关键认知区域都存在不同程度的萎缩。
腹型肥胖更是阿尔茨海默病等神经退行性疾病的独立风险因素,脂肪堆积可能引发全身慢性炎症,促进 β-淀粉样蛋白和 tau 蛋白沉积,加速认知功能退化。

左侧红色受试者的内脏脂肪和皮下脂肪均较高,脑体积比蓝色受试者小(大脑黑色空间更多)图片来源:《衰老与疾病》
令人警觉的是,这些影响甚至可能在儿童期就已经开始了。
《JAMA Network》发表的一项研究发现,9 到 10 岁儿童中,BMI 和腰围较高的孩子,其脑白质完整性下降、皮层变薄、脑功能连接性变差。
也就是说,“脑力缩水”可能从小就开始了。
脂肪影响大脑的“幕后机制”
目前,科学家们已经找到了几条脂肪影响大脑健康的重要通路。
炎症反应:内脏脂肪像个“炎症工厂”,释放各种促炎物质(如 IL-6、TNF-α),这些物质能穿过血脑屏障,引发中枢神经炎症,损伤脑细胞。

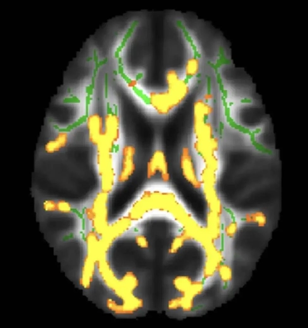
隐藏的内脏脂肪水平较高,神经炎症(黄色)增加 图源:丁香医生
胰岛素抵抗:肥胖会让大脑对胰岛素“麻木”,导致神经元营养供应减少,影响记忆和学习。
血脑屏障受损:脂肪引起的慢性炎症会破坏大脑的“防火墙”,有害物质可能趁机入侵。
营养因子下降:肥胖人群体内脑源性神经营养因子水平较低,这种物质对维持神经活力至关重要。
这些机制共同作用,让大脑像用久的手机一样“卡顿”,运行效率下降,甚至“容量”变小。
“大肚腩”不只是伤脑子
腹型肥胖不仅仅只影响大脑,它还是很多慢病的“帮凶”。
心血管疾病:腰围每增加 10cm,冠心病风险上升 16%,心衰、脑卒中风险也随之上升。
糖尿病和高尿酸血症:内脏脂肪干扰胰岛素作用,导致 2 型糖尿病发生风险提升 5 倍,高尿酸血症和痛风发生风险也明显上升。
肝病:60%以上腹型肥胖者有脂肪肝,部分甚至发展为肝硬化。
睡眠呼吸暂停:腹部脂肪压迫呼吸系统,夜间血氧下降,长期可损害记忆和注意力。
肿瘤风险升高:腰围每增加 5cm,乳腺癌、结直肠癌和胰腺癌的风险显著升高。
心理健康影响:肥胖可引起焦虑、自我否定、抑郁情绪增加,造成心身不利影响。
如何科学“减肚子”,守护脑健康?
肥胖虽然可怕,但及时干预和治疗是可以完成逆转和治愈的。

建议优先选择能量密度低或低GI的食物
通过科学管理体重、改善生活方式,我们不仅能收回“大肚子”,更能守护思维的锋利与记忆的清晰,拥有健康的身体和快乐的生活。现在开始,为你的大脑“瘦身”吧!
参考文献
[1] Han YP, Tang X, Han M, Yang J, Cardoso MA, Zhou J, Simó R. Relationship between obesity and structural brain abnormality: Accumulated evidence from observational studies. Ageing Res Rev. 2021 Nov;71:101445. doi: 10.1016/j.arr.2021.101445.
[2] Arnoldussen IAC, Gustafson DR, Leijsen EMC, de Leeuw FE, Kiliaan AJ. Adiposity is related to cerebrovascular and brain volumetry outcomes in the RUN DMC study. Neurology. 2019 Aug 27;93(9):e864-e878.
[3] Kaltenhauser S, Weber CF, Lin H, Mozayan A, Malhotra A, Constable RT, Acosta JN, Falcone GJ, Taylor SN, Ment LR, Sheth KN, Payabvash S. Association of Body Mass Index and Waist Circumference With Imaging Metrics of Brain Integrity and Functional Connectivity in Children Aged 9 to 10 Years in the US, 2016-2018. JAMA Netw Open. 2023 May 1;6(5):e2314193.
文章来自互联网,不代表电脑知识网立场。发布者:,转载请注明出处:https://www.pcxun.com/n/674650.html
