炎炎夏日,来一瓶冰镇可乐,那种透心凉的感觉真爽啊!如果要大家票选和夏天最配的饮品,排在前几位的少不了它们:碳酸饮料、柠檬水、鲜榨果汁、冰红茶、冰咖啡。
但需要注意的是,在畅饮这些饮品的同时,也需要关注咱们的牙齿。因为一些饮品会在不知不觉中腐蚀牙齿坚硬的外壳,增加龋齿(虫牙)和酸蚀症的风险。
酸性饮料是如何腐蚀牙齿的?
牙釉质是牙齿的第一道防线,是牙齿表面最坚硬的外壳,它是由 95%~97%的无机物(主要是含钙磷的羟基磷灰石)和少量水及有机物组成。
而牙釉质脱矿就是牙齿被破坏的第一步,任何可能导致牙釉质脱矿的因素都会增加龋齿和酸蚀症的风险。
学过化学的朋友们都知道,钙磷无机物晶体质地坚硬,耐磨耐造,但它的天敌就是酸!酸可以轻松溶解这些羟基磷灰石晶体,造成牙釉质表面脱矿,孔隙变大,硬度降低,导致釉质本身变薄变少,还能开辟细菌侵入的通道,增加龋坏风险。
但是咱们口腔防御机制也不是吃素的,有一定的自我纠错和修复功能。牙齿长期浸泡在唾液里,唾液中含有大量的钙磷离子(且往往浓度高于牙面),可以随时往牙面上沉积,重新形成新的羟基磷灰石,弥补之前脱矿造成的钙磷损失,形成动态平衡。

这个动态平衡有平衡点,就是临界 pH 值(大约 5.5),一旦打破平衡,就会出现无法逆转的钙磷流失。
当口内 pH 值>5.5 时,钙磷的沉积大于流失,釉质表面会重新修复;当口内 pH 值<5.5 时,牙面钙磷流失速度大于再矿化速度,釉质表面会脱矿。
pH 值越低,釉质脱矿和溶解的程度就会越严重!釉质持续脱矿可能造成两种结果:(1)龋病(口腔 pH4.0~4.5);(2)酸蚀症(口腔 pH2.5~4.0)。
龋病会导致牙齿形成空洞破坏,严重的发展为牙髓炎和根尖周炎,引起剧烈疼痛和牙齿功能丧失;而酸蚀症则会导致整个牙齿的釉质外壳被溶解变薄,牙齿体积不断变小,对牙本质和牙髓的保护能力降低。

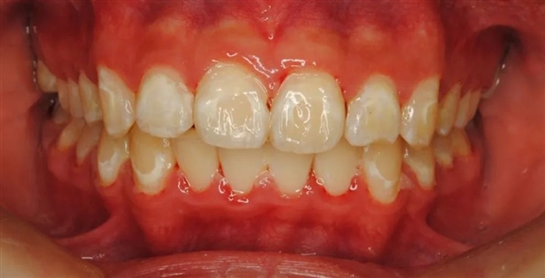
牙釉质脱矿(龋病) 来源:卓正医疗王羽医生病例
由于牙釉质一旦损失,是不可再生的。严重的酸蚀症会使得整个口腔咀嚼功能下降,咬合垂直距离降低,甚至出现颞下颌关节问题等。
酸性饮料通常指 pH 值<4.5 的饮料。夏日里大家喜欢的很多饮品,其实都属于酸性饮料。
结合之前我们提到的临界 pH 值(5.5),当这些饮料接触到牙面时都会造成短暂的釉质脱矿,且 pH 值越低,脱矿越严重!尤其是 pH2.0~4.0 之间的酸性饮料,可以直接导致酸蚀症的出现。
另外,很多饮料除了本身是酸性以外,还添加了糖(尤其是白砂糖),这些糖容易被牙面致龋菌分解产生有机酸,进一步加重牙面脱矿,造成双重打击!
典型的产品包括传统碳酸饮料、添加糖的果汁饮料等。所以,长期高频率的饮用酸性饮料是会对牙齿造成很大伤害的!

图源:作者自制
哪种饮料对牙齿危害最大呢?
前面我们了解了饮料的 pH 值越低,牙面脱矿越严重,发生酸蚀症和龋齿的风险越高。
那么,对牙齿危害最大的其实仍然是碳酸饮料(pH 值最低且含大量糖分),其次是各种果汁和果汁饮料,苹果醋、冰红茶、葡萄汁、橙汁的危害也不小。
纯柠檬汁虽然 pH 值也很低,但一般还是会用水稀释,所以实际上的酸蚀作用并没有那么大。
另外,啤酒虽然不甜,但是它也是酸性的,大量饮用也可能危害牙釉质;鲜果汁中西瓜汁最好;咖啡,酸奶,运动饮料等是弱酸性,对牙齿影响不大。
当然,最鼓励大家饮用的还是纯净水(或白开水)、茶(或不含糖的茶饮料)、牛奶、苏打水等。
如何饮用可以减少饮料对牙齿的伤害?
如果确实想要享受饮料带来的快感,我们在喝这些酸性饮料时,可以通过以下几种方式来减少它们对牙釉质的酸蚀:
1.使用吸管饮用,减少饮料中酸与牙面的接触;
2.降低饮用频率,避免牙齿反复浸泡在酸性环境内,为唾液的碱性缓冲和再矿化提供时间;
3.饮用后漱口(纯净水或自来水),或再喝一点纯净水或苏打水,减少口内残留酸性物质;
4.建议餐间或餐后 2 小时内饮用,可以搭上食物消化时口内 pH 下降的班车;尽量避免两餐之间随时饮用,避免睡前饮用;
5.饮用完酸性饮料后半个小时再进行刷牙,使用含氟牙膏促进再矿化;
6.纯鲜榨果汁可以适当添加水,降低酸的浓度再饮用;
7.喝咖啡的时候可以加入纯牛奶。牛奶里的蛋白质和钙能“中和”咖啡里的酸,也可以减少色素在牙面的沉着;
8.做好牙齿清洁,早晚刷牙,饭后漱口,使用牙线。这点很重要!
仅仅是饮料中的酸导致牙釉质脱矿是不会形成龋洞的,还需要后续致龋细菌的侵入,不断代谢产生新的酸,才会破坏牙齿结构形成龋洞。
并且牙面附着的菌斑会阻挡唾液与脱矿牙面接触,使得唾液再矿化的能力无法发挥。所以,做好牙面清洁、控制牙面菌斑才是预防龋齿的根本。
好喝的饮料千千万,为了牙齿想一遍。
希望阅读了这篇文章,大家能从保护牙齿的角度,来选择和饮用合适的饮品!

策划制作
作者丨赵河川 卓正医疗牙科医生
审核丨张宇 中国疾病预防控制中心 研究员/博士 国家健康科普专家 中国医师协会健康传播工作委员会委员
阮光锋 科信食品与健康信息交流中心副主任 中华预防医学会健康传播分会委员
策划丨一诺
责编丨一诺
审校丨徐来、林林
文章来自互联网,不代表电脑知识网立场。发布者:,转载请注明出处:https://www.pcxun.com/n/757070.html
